過去問題目次
挺子の持ち方の写真(別冊No.22)を別に示す。正しいのはどれか。1つ選べ。
a ア
b イ
c ウ
d エ
e オ

顎骨のブロック骨移植によく用いられる骨の供給部位はどれか。2つ選べ。
a 犬歯窩
b 下顎枝
c オトガイ
d 下顎骨体
e 上顎結節
口外法で顎下腺を摘出することとした。
切開線を矢印で示した写真(別冊No.8)を別に示す。
皮膚切開後に最初に見える筋はどれか。1つ選べ。
a 咬筋
b 広頸筋
c 僧帽筋
d 顎舌骨筋
e 顎二腹筋後腹

下顎骨骨折の手術中の口腔内写真(別冊No.23)を別に示す。
この骨接合プレート材料の利点はどれか。1つ選べ。
a 耐熱性が高い。
b 骨伝導性がある。
c 力学的強度が高い。
d 除去手術が不要である。
e 組織の色調と鑑別しやすい。

手術の際の止血法はどれか。すべて選べ。
a 圧迫
b 吸引
c 結紮
d 焼灼
e 栓塞
上顎洞底挙上術の術中の口腔内写真(別冊No.8)を別に示す。
この操作で損傷の可能性が高いのはどれか。1つ選べ。
a 頰動脈
b 顔面動脈
c 顔面横動脈
d 大口蓋動脈
e 後上歯槽動脈

下顎左側智歯の抜去を予定している患者のエックス線画像(別冊No.11A)とCT (別冊No.11B)を別に示す。
矢印で示す構造を損傷すると同側に生じる可能性が高いのはどれか。2つ選べ。
a 舌の味覚障害
b 下唇の運動障害
c 頰粘膜の感覚異常
d 損傷部位からの出血
e 下顎前歯部唇側歯肉の感覚異常

手術器具の写真(別冊No.4)を別に示す。
使用目的はどれか。2つ選べ。
a 止血
b 穿刺
c 搔爬
d 把持
e 抜歯

下顎の偏位を主訴とする患者に行った手術時の写真(別冊No.4)を別に示す。
術中損傷によって、術後に気道閉塞を起こす危険性があるのはどれか。2つ選ベ。
a 頰動脈
b 舌下動脈
c 舌深動脈
d 上甲状腺動脈
e オトガイ下動脈

唾石症患者の初診時のCT(別冊No.11A)と唾石摘出術中の口腔内写真(別冊No.11B)を別に示す。
矢印で示す神経の損傷によって生じるのはどれか。1つ選べ。
a 舌の運動障害
b 舌の味覚障害
c 下唇の運動障害
d 顎舌骨筋の運動障害
e オトガイ部の感覚異常

42歳の男性。右側顎下部の腫脹を主訴として来院した。
3年前から食事時に腫脹と疼痛を繰り返しているという。
検査の結果、口腔外から手術を行うこととした。
初診時の顔貌写真(別冊No.24A)、エックス線画像(別冊No.24B)及びCT (別冊No.24C)を別に示す。
手術の前に患者に説明すべき術後合併症はどれか。2つ選べ。
a 「下唇の動きが悪くなることがあります」
b 「下唇の感覚が鈍くなることがあります」
c 「舌の右半分がしびれることがあります」
d 「耳たぶの感覚が鈍くなることがあります」
e 「舌をまっすぐ前に出せなくなることがあります」

周術期の口腔機能管理で術後合併症を予防するために行うのはどれか。2つ選べ。
a 歯石除去
b 口腔衛生指導
c 新義歯の製作
d フッ化物の歯面塗布
e プロテクターの製作
58歳の女性。舌の腫脹を主訴として来院した。
昨日、他院で下顎前歯部にインプラントを埋入し、今朝から舌の腫れを自覚しているという。
8年前に心筋梗塞を発症し、現在も抗血栓療法を受けている。
診察の結果、止血処置を行うこととした。
処置前の口腔内写真(別冊No.24)を別に示す。
止血処置により発症が回避できるのはどれか。1つ選べ。
a 気胸
b 昏睡
c 肺塞栓
d 上気道閉塞
e アナフィラキシーショック

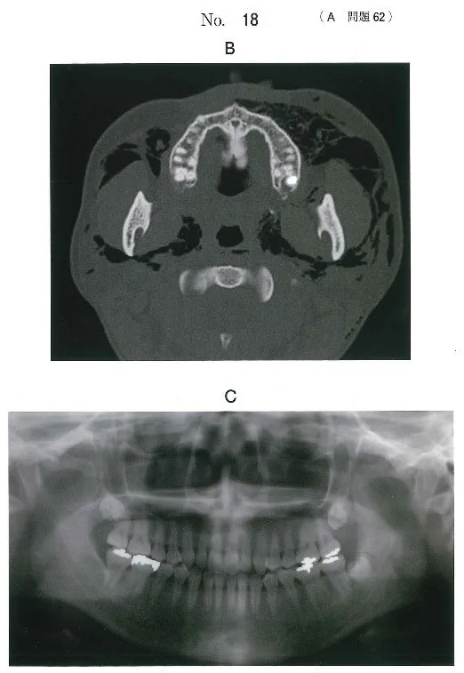
45歳の男性。左側顎下部の疼痛と腫脹を主訴として来院した。
1年前から同部に一過性の疼痛を自覚していたがそのままにしていたところ、1か月前から食事中に疼痛を伴う腫脹が出現するようになったという。
診断をした結果、口腔外から手術を行うこととした。
初診時のエックス線画像(別冊No.33A)とCT(別冊No.33B)を別に示す。
術中に切離するのはどれか。2つ選べ。
a 広頸筋
b 舌神経
c 顎舌骨筋
d 舌下動脈
e Wharton 管

62歳の男性。下顎の腫脹を主訴として来院した。
10年前から気付いていたが痛みがないためそのままにしていたところ、最近受診した近医で精査を勧められたという。
腫脹部は骨様硬で圧痛はない。
診断をした結果、切除することとした。初診時の口腔内写真(別冊No.12)を別に示す。
術中損傷に注意すべきなのはどれか。2つ選べ。
a 舌神経
b 舌下神経
c Stensen 管
d Wharton 管
e オトガイ神経

40歳の女性。よく嚙めないことを主訴として来院した。
診察と検査の結果、上顎右側臼歯欠損部にインプラント義歯による治療を行うこととし、インプラント埋入前にある処置を行った。
初診時と処置後のエックス線画像(別冊No.27)を別に示す。
この処置の目的はどれか。1つ選べ。
a 咬合高径の確保
b 治療期間の短縮
c 既存骨の骨質改善
d 骨結合の早期獲得
e 垂直的骨量の増加

骨形成線維腫に対し下顎区域切除術を行うこととした。
初診時のエックス線画像(別冊No.6)を別に示す。
切除時に下顎骨から剝離するのはどれか。2つ選べ。
a 咬筋
b 顎舌骨筋
c 顎二腹筋
d 外側翼突筋
e オトガイ舌骨筋

ある手術中の口腔内写真(別冊No.8A、B)と手術翌日のエックス線画像(別冊No.8C)を別に示す。
骨固定に用いた材料の主成分はどれか。1つ選べ。
a チタン
b ジルコニア
c ポリ-L-乳酸
d リン酸三カルシウム
e ハイドロキシアパタイト


23歳の女性。下顎左側大臼歯部の疼痛を主訴として来院した。
智歯周囲炎と診断し、抜歯することとした。
初診時の口腔内写真(別冊No.34A)、エックス線画像(別冊No.34B)及び抜歯に使用する器具の写真(別冊No.34C)を別に示す。
粘膜骨膜切開後に用いる器具を使用順に並べよ。

a ア
b イ
c ウ
d エ
e オ


上顎智歯抜去における手術部位感染の予防目的で、アモキシシリン水和物を単回経口投与することとした。
適切な投与時期はどれか。1つ選べ。
a 手術6時間前
b 手術3時間前
c 手術1時間前
d 手術直後
e 手術1時間後
32歳の男性。オトガイ下部の腫脹を主訴として来院した。
5日前から下顎前歯部の疼痛を自覚し、3日前から腫脹が増大してきたという。
体温は38.4℃で、腫脹部に波動を触れる。
診察の結果、消炎処置を行うこととした。
初診時の顔貌写真(別冊No.32A)と口腔内写真(別冊No.32B)を別に示す。
処置を実施の順番に並べよ。

a 排膿
b 穿剌吸引
c 皮膚切開
d ドレーン留置
e 膿瘍腔の洗浄

頸部郭清術後の創部にドレーンを留置する目的はどれか。1つ選べ。
a 創部の洗浄
b 抗菌薬の投与
c 排膿路の確保
d 創部出血の防止
e 貯留滲出液の排出
40歳の女性。左側頰部の腫脹を主訴として来院した。
30分前にかかりつけ歯科医で下顎左側埋伏智歯の抜去直後から腫脹が出現したため、紹介された。
初診時の顔貌写真(別冊No.18A)、CT(別冊No.18B)及び抜歯前のエックス線画像(別冊 No.18C)を別に示す。
適切な対応はどれか。2つ選べ。
a 頰部圧迫
b 抗菌薬投与
c 抗ヒスタミン薬投与
d アドレナリン筋肉注射
e バイタルサインの確認


歯肉縁下にある下顎第一大臼歯の残根抜去時に、挺子を使用するために行うのはどれか。3つ選べ。
a 歯根の分割
b 皮質骨の骨切り
c 歯根周囲の骨削除
d 粘膜骨膜弁の剝離
e Partschの歯肉切開
右側口底部の違和感を主訴として来院した患者の、初診時の口腔内写真(別冊No.15A)とエックス線画像(別冊No.15B)を別に示す。
インフォームドコンセントにおいて、治療を行わない場合の説明で適切なのはどれか。1つ選べ。
a 「口が乾く可能性があります」
b 「顎の下が腫れる可能性があります」
c 「口が開かなくなる可能性があります」
d 「舌が動きにくくなる可能性があります」
e 「舌の感覚が鈍くなる可能性があります」

右側顎下腺摘出術を受けた患者の術後の下唇運動時の写真(別冊No.4)を別に示す。
障害されているのはどれか。1つ選べ。
a 舌神経
b 顔面神経
c 舌下神経
d 大耳介神経
e オトガイ神経

46歳の男性。開口障害を主訴として来院した。
3日前に他院で下顎右側第二大臼歯の抜去後から次第に疼痛と腫脹が増大し、昨日から開口しにくくなってきたという。
体温は38.3℃で、嚥下痛がある。診察の結果、口腔外から切開排膿することとした。
初診時のエックス線画像(別冊No.12A)、造影CT(別冊No.12B)及び切開部位の模式図(別冊No.12C)を別に示す。血液検査の結果を表に示す。

適切な切開部位はどれか。2つ選べ。
a ア
b イ
c ウ
d エ
e オ


抜歯創の治癒過程を順に並べよ。
![]()
a 骨改造
b 仮骨形成
c 血管新生
d 血餅形成
e 肉芽増生
転倒により生じた2歳男児の舌の裂創に対して、全身麻酔下に縫合処置を行うこととした。
用いる縫合糸の材質で適切なのはどれか。1つ選べ。
a シルク
b ナイロン
c ポリエステル
d ポリプロピレン
e ポリグリコール酸
65歳の男性。右側顎下部の腫脹を主訴として来院した。
2年前から同部の腫脹と消退を繰り返していたがそのままにしていたという。
腫脹部は限局性で、軽度の圧痛を認める。
初診時のエックス線画像(別冊No.22A)とCT(別冊No.22B、C)を別に示す。
手術に際し切開するのはどれか。1つ選べ。
a 広頸筋
b 舌下腺
c 顎舌骨筋
d Stensen管
e Wharton管


23歳の男性。上顎左側前歯部の疼痛を主訴として来院した。
含歯性囊胞と診断し、埋伏過剰歯抜去・囊胞摘出術を行うこととした。
初診時の口腔内写真(別冊 No.33A)、エックス線画像(別冊No.33B)及び手術に使用する器具の写真(別冊No.33C)を別に示す。
器具を使用する順に並べよ。
![]()
a ア
b イ
c ウ
d エ
e オ


| 問題番号 | カテゴリ | 問題 | 正答率 |
|---|---|---|---|
| 問題番号:108A-120 | 挺子の持ち方の写真(別冊No.22)を別に示す。正しいのはどれか。1つ選べ。 a ア
正解:A |
正答率:96.6% | |
| 問題番号:108A-123 | 顎骨のブロック骨移植によく用いられる骨の供給部位はどれか。2つ選べ。 a 犬歯窩
正解:BC |
正答率:15.2% | |
| 問題番号:109C-47 | 口外法で顎下腺を摘出することとした。 皮膚切開後に最初に見える筋はどれか。1つ選べ。 a 咬筋
正解:B |
正答率:84.3% | |
| 問題番号:109C-94 | 下顎骨骨折の手術中の口腔内写真(別冊No.23)を別に示す。 この骨接合プレート材料の利点はどれか。1つ選べ。 a 耐熱性が高い。
正解:D |
正答率:90.6% | |
| 問題番号:110C-46 | 手術の際の止血法はどれか。すべて選べ。 a 圧迫
正解:ACDE |
正答率:80.9% | |
| 問題番号:111C-53 | 上顎洞底挙上術の術中の口腔内写真(別冊No.8)を別に示す。 この操作で損傷の可能性が高いのはどれか。1つ選べ。 a 頰動脈
正解:E |
正答率:64.6% | |
| 問題番号:111C-58 | 下顎左側智歯の抜去を予定している患者のエックス線画像(別冊No.11A)とCT (別冊No.11B)を別に示す。 矢印で示す構造を損傷すると同側に生じる可能性が高いのはどれか。2つ選べ。 a 舌の味覚障害
正解:DE |
正答率:72.2% | |
| 問題番号:112B-29 | 手術器具の写真(別冊No.4)を別に示す。 使用目的はどれか。2つ選べ。 a 止血
正解:AD |
正答率:85.0% | |
| 問題番号:112D-48 | 下顎の偏位を主訴とする患者に行った手術時の写真(別冊No.4)を別に示す。 術中損傷によって、術後に気道閉塞を起こす危険性があるのはどれか。2つ選ベ。 a 頰動脈
正解:BE |
正答率:64.2% | |
| 問題番号:112D-62 | 唾石症患者の初診時のCT(別冊No.11A)と唾石摘出術中の口腔内写真(別冊No.11B)を別に示す。 矢印で示す神経の損傷によって生じるのはどれか。1つ選べ。 a 舌の運動障害
正解:B |
正答率:75.7% | |
| 問題番号:113A-68 | 42歳の男性。右側顎下部の腫脹を主訴として来院した。 手術の前に患者に説明すべき術後合併症はどれか。2つ選べ。 a 「下唇の動きが悪くなることがあります」
正解:AC |
正答率:54.8% | |
| 問題番号:113B-32 | 周術期の口腔機能管理で術後合併症を予防するために行うのはどれか。2つ選べ。 a 歯石除去
正解:AB |
正答率:91.2% | |
| 問題番号:114A-64 | 58歳の女性。舌の腫脹を主訴として来院した。 診察の結果、止血処置を行うこととした。 止血処置により発症が回避できるのはどれか。1つ選べ。 a 気胸
正解:D |
正答率:92.1% | |
| 問題番号:114A-77 | 45歳の男性。左側顎下部の疼痛と腫脹を主訴として来院した。 初診時のエックス線画像(別冊No.33A)とCT(別冊No.33B)を別に示す。 術中に切離するのはどれか。2つ選べ。 a 広頸筋
正解:AE |
正答率:73.5% | |
| 問題番号:114B-44 | 62歳の男性。下顎の腫脹を主訴として来院した。 腫脹部は骨様硬で圧痛はない。 術中損傷に注意すべきなのはどれか。2つ選べ。 a 舌神経
正解:AD |
正答率:66.1% | |
| 問題番号:114C-66 | 40歳の女性。よく嚙めないことを主訴として来院した。 診察と検査の結果、上顎右側臼歯欠損部にインプラント義歯による治療を行うこととし、インプラント埋入前にある処置を行った。 この処置の目的はどれか。1つ選べ。 a 咬合高径の確保
正解:E |
正答率:99.0% | |
| 問題番号:115B-27 | 骨形成線維腫に対し下顎区域切除術を行うこととした。 切除時に下顎骨から剝離するのはどれか。2つ選べ。 a 咬筋
正解:AB |
正答率:84.4% | |
| 問題番号:115C-35 | ある手術中の口腔内写真(別冊No.8A、B)と手術翌日のエックス線画像(別冊No.8C)を別に示す。 骨固定に用いた材料の主成分はどれか。1つ選べ。 a チタン
正解:C |
正答率:75.5% | |
| 問題番号:115C-89 | 23歳の女性。下顎左側大臼歯部の疼痛を主訴として来院した。 粘膜骨膜切開後に用いる器具を使用順に並べよ。
a ア
正解:CAEBD |
正答率:65.4% | |
| 問題番号:115D-69 | 上顎智歯抜去における手術部位感染の予防目的で、アモキシシリン水和物を単回経口投与することとした。 適切な投与時期はどれか。1つ選べ。 a 手術6時間前
正解:C |
正答率:60.3% | |
| 問題番号:115D-89 | 32歳の男性。オトガイ下部の腫脹を主訴として来院した。 処置を実施の順番に並べよ。
a 排膿
正解:BCAED |
正答率:74.8% | |
| 問題番号:116A-38 | 頸部郭清術後の創部にドレーンを留置する目的はどれか。1つ選べ。 a 創部の洗浄
正解:E |
正答率:71.6% | |
| 問題番号:116A-62 | 40歳の女性。左側頰部の腫脹を主訴として来院した。 適切な対応はどれか。2つ選べ。 a 頰部圧迫
正解:BE |
正答率:89.2% | |
| 問題番号:116B-41 | 歯肉縁下にある下顎第一大臼歯の残根抜去時に、挺子を使用するために行うのはどれか。3つ選べ。 a 歯根の分割
正解:ACD |
正答率:71.7% | |
| 問題番号:116B-42 | 右側口底部の違和感を主訴として来院した患者の、初診時の口腔内写真(別冊No.15A)とエックス線画像(別冊No.15B)を別に示す。 インフォームドコンセントにおいて、治療を行わない場合の説明で適切なのはどれか。1つ選べ。 a 「口が乾く可能性があります」
正解:B |
正答率:35.9% | |
| 問題番号:116C-24 | 右側顎下腺摘出術を受けた患者の術後の下唇運動時の写真(別冊No.4)を別に示す。 障害されているのはどれか。1つ選べ。 a 舌神経
正解:B |
正答率:98.9% | |
| 問題番号:116C-39 | 46歳の男性。開口障害を主訴として来院した。
適切な切開部位はどれか。2つ選べ。 a ア
正解:DE |
正答率:81.1% | |
| 問題番号:116D-38 | 抜歯創の治癒過程を順に並べよ。
a 骨改造
正解:(解答なし) |
正答率:0.0% | |
| 問題番号:117A-32 | 転倒により生じた2歳男児の舌の裂創に対して、全身麻酔下に縫合処置を行うこととした。 a シルク
正解:E |
正答率:76.1% | |
| 問題番号:117A-58 | 65歳の男性。右側顎下部の腫脹を主訴として来院した。 2年前から同部の腫脹と消退を繰り返していたがそのままにしていたという。 初診時のエックス線画像(別冊No.22A)とCT(別冊No.22B、C)を別に示す。 手術に際し切開するのはどれか。1つ選べ。 a 広頸筋
正解:E |
正答率:59.2% | |
| 問題番号:117B-89 | 23歳の男性。上顎左側前歯部の疼痛を主訴として来院した。 含歯性囊胞と診断し、埋伏過剰歯抜去・囊胞摘出術を行うこととした。 器具を使用する順に並べよ。
a ア
正解:DBEAC |
正答率:93.9% |